Сейдали Халилов

Гіперплазія простати /Аденома простати

Раді представити Вам Зелений Лазер XPS – технологію та платформу, які дозволяють швидко та безпечно позбутися аденоми передміхурової залози, та пов’язаного з нею утрудненого сечовипускання.

У чому унікальність Зеленого Лазера XPS?

Зелений лазер має одразу декілька суттєвих переваг:

  1. Фотоселективність – переважне поглинання лазерної енергії структурами червоного кольору (в організмі людини це еритроцити та судини). Завдяки цьому видалення аденоми відбувається більш ефективно (мінімізуються втрати енергії лазера у промиваючому розчині, і більшість її іде на руйнацію пахлини) та безпечно (судини швидко герметизуються внаслідок коагуляції білків).
  2. Ефект вапоризації – зелений лазер швидко нагріває тканьову рідину до надвисоких температур з утворенням чисельних бульбашок пара. Збільшуючись у розмірах, бульбашки «розривають» пухлину на дрібні фрагменти, що синхронно виводяться током промиваючого розчину назовні. Цей ефект забеспечує надійний контроль глибини деструкції та виключає «опіки» розташованих глибше тканин, що в подальшому викликають тривалі больові відчуття, подразнене сечовипускання, затримують процес загоєння, супроводжуються відторгеннням некротичних мас.
  3. Приголомшлива потужність 180Вт – дозволяє проводити руйнацію великих за розміром аденом простати >120 см3.

Як Відбувається Руйнація Аденоми Простати Зеленим Лазером XPS?

Зелений Лазер XPS миттєво нагріває тканьову рідину до температури кипіння, з утворенням чисельних бульбашок пара. Бульбашки пара розщеплюють пухлину на мікрочастинки, що одразу виводяться назовні током промиваючого фізіологічного розчина. 

Вапоризація Зеленим Лазером XPS Очами Хірурга?

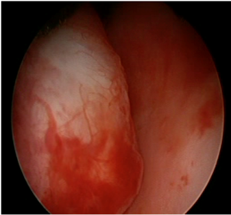
1

Вигляд аденоми передміхурової залози при ендоскопії: вузол аденоми (А) випинає у просвіт сечівника (ПС), перешкоджаючи огляду порожнини сечового міхура та утруднюючи відтік сечі з сечового міхура

2
Впоризація аденоми передміхурової залози Зеленим Лазером XPS: вузол аденоми (А) руйнується під дією лазерного випромінювання (жовтий факел (Ф), що виходить з кінчику світловоду (С) під кутом
3

Вигляд після вапоризації аденоми передміхурової залози: вузол аденоми зруйновано, просвіт сечівника (ПС) деблоковано, видно лазерний світловод (С) та вільно проглядається порожнина сечового міхура – ПСМ. Ознак кровотечі немає.

Що Зелений Лазер XPS дає пацієнту

Наші можливості по видаленню аденоми передміхурової залози.

Система GreenLight XPS – це не просто модернізація апарату попереднього покоління, а пристрій, що вібрав в себе грунтовні удосконалення, які дозволяють проводити процедуру на якісно новому рівні. Система GreenLight XPS генерує зелене лазерне випромінювання з довжиною хвилі 532 нм, що вибірково поглинається еритроцитами (червоними кров’яними тільцями) та судинами. На додаток до цієї унікальної властивості була збільшена потужність GreenLight XPS до приголомшливих 180Вт та оптимізоване лазеропровідне волокно, шляхом інтеграції в нього власної системи охолодження, збільшення його енергетичного ресурса та площі контакта лазерного пучка з пухлиною.. Збільшення потужності та якості лазерного випромінювання разом з підвищенням стійкості волокна до термічних навантажень дозволяють проводити видалення пухлин великіх розмірів (>120см3) за більш короткий час, додатково підвищуючи якість та безпечність процедури.

Записаться на прием

Звоните или оставить заявку через любимый мессенджер

+38 (097) 731-41-81
или

Записатися на прийом

Телефонуйте або залишити заявку через улюблений месенджер

+38 (097) 731-41-81
або

Call Now Button